2024年10月17日木曜日

検査結果は変化なしでした


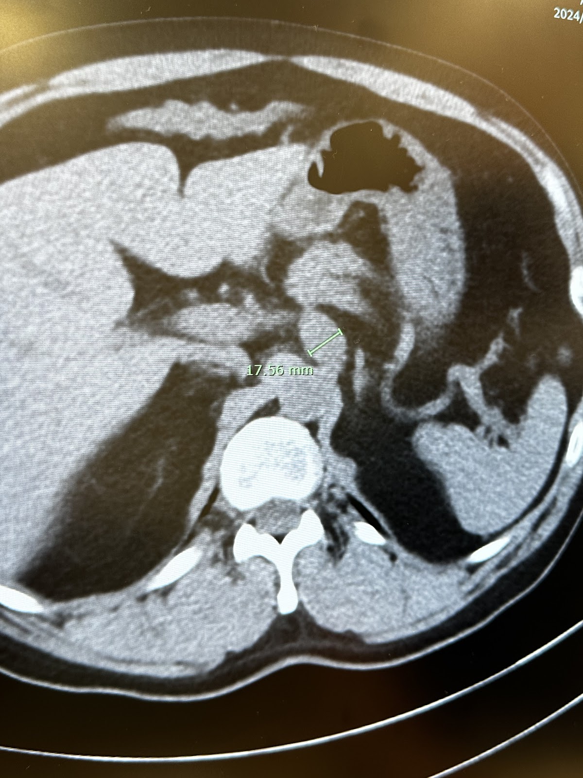
今日は検査結果を聞きに横浜市大病院に来ました。結果は動脈瘤に変化なし。1.8センチから数ミリも動いていませんでした。


一年間、アクセル全開フルスロットルで疾走と暴走を繰り返したのに、変化がないとはどうなってるの?あれほどの外圧と内圧、過酷なスケジュールと大きなプレッシャーやストレスで変化がないなんて、おかしいと思うくらいです。


残念ながら無罪放免にはならず、先生から「5年かけて大きくなってゆくものもあり予断できない。検査は続けなさい。」と言われ、2025年10月の予約を入れられてしまいました。


本当に自分らしい病気で申し訳なく、ありがたいです。ご心配いただき、申し訳ございません。なんとか変化なく、無事に済みました。引き続きよろしくお願いいたします。


ありがとうございます。

0 件のコメント:

【速報】清行&ウィニーの赤ちゃん生まれた!

  【 速報 】 突然で申し訳ございません。 ネパールで、コレイア清行師とウィニーちゃんの第一子、男子、2900g、先ほど無事に生まれました。 生まれきてくれるまで、ネパールのみんなで1時間40分、お看経させていただきました。 むちゃくちゃかわいいです🩷 南無妙法蓮華経 ありが...